If you want to learn about Herbert and how I found him, I detail his discovery in my first post https://livingwithherbert.com/2012/09/29/finding-out-youve-been-living-with-herbert-all-along/
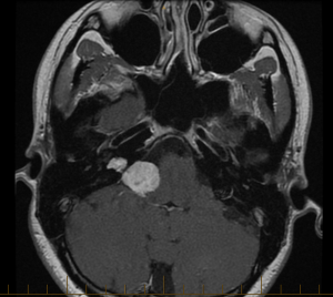
If you are in a similar boat then here are the details. Herbert is the ridiculous name attributed to my acoustic neuroma. He is approximately 3 cm and just leaning on my brainstem. All accounts point to Herbert being benign. Though I am lucky with my diagnoses, Herbert is causing me to evict him via brain surgery in December. Here I chronicle my story of Herbert, but also of me. I am the one living with him. I’m Samira. I’m 26, a PhD student studying women, violence and the media, hoping I can help find solutions to violence against women all around the world using new media tools and storytelling. Never underestimate the power of a good story. I am optimistic and happy to meet you!
I welcome you to share your story too. I learned a lot about this process from stories shared by other AN folks, I hope I can do the same for you!
UPDATE: That was me three year ago, a lot has changed, my PhD has shifted to trying to understand how new media can help any victim of trauma. I’ve changed. My haircut has changed (a lot). Most of Herbert has been removed leaving scraps and scars. That was three years and five craniotomies ago, if you’ve been on this journey with me, thank you for walking along side me. If you’re just joining me, let’s walk together, let’s learn together, let’s become better, together.



I had named mine “Chuck” as we wanted Chuck to get the F*CK out….! He was 5 cm. in my cerebellum…and my NS got out as much as he could….1.5 years ago. My story is still unfolding. Good luck today/tomorrow!
I just started reading your blog! Know that I am one of your many supporters in your journey! Thanks for providing me with strength and hope!!!
Oh and Chuck! Awesome BT name!
I named mine Bert!
I bet they’re friends! Can’t wait to dog into your blog!
Back atcha!
Hi Samira,
Wonderful and inspiring blog (well, I’ve so far read this page and your latest entry!). My friend Sara Revi (ATLAS, CU Boulder) referred me to your blog. I was recently diagnosed with a brain tumor on my brain stem (I defined him as another galaxy in my brain, by the name of Bob.) As of yet, no idea what the hell kind he is as I’ve been told that a biopsy where he is located is too risky unless he’s growing. So, we are on the wait and see plan, next MRI in 6 weeks. Looking forward to reading back from the beginning of your story and following you. Thanks for your writing!
Dawn
Dawn! So great to meet you and so sorry to hear of your struggles! I’ll be thinking of you as I know how stressful waiting cN be and reach out if you ever need a friend from this galaxy! Thanks for following along!
Thanks Samira! Just read your post-op still leaking post. Damn, I’m emotionally tired without leaky CSF and brain surgeries, I can’t imagine how you feel. I love that you still feel the love though… I am so grateful that I do as well in my life. Sending you positive vibes. I’m new at this blogging, but started one as well (does wordpress show you that from my comment???) it’s braintumorlife.wordpress.com
Sending you peace and love.
Dawn
I just found you Samira, and I’ll be checking out your site. My son also had a brain stem tumor, discovered when he was 11. His is inoperable– in the present tense because he’s still alive and doing well at age 32. We never named his tumor, and if I had to think of a name now, it probably wouldn’t be very nice. It did some damage, and changed my son forever, but his “new self” is pretty awesome. Well wishes for your journey!
Oh! It’s so nice to meet you! I’m sorry for what you and your son have gone through but I bet he’s amazing! Reach out if there is ever anything I can do to help you guys!
Thanks Samira. We’re so blessed that it ended well!